Coś pękło... ale co?!

Wywiad:

Najechany przez samochód na posesji, tego samego dnia wykonywano poglądowe USG, uwidoczniono płyn w okolicy pęcherza mocz. - podejrzenie pęknięcia pęcherza mocz.,
dziś USG poglądowe było wykonywane ponownie- więcej płynu w jamie brzusznej jeszcze bardziej nasuwa pęknięcie pęcherza, jednak pies oddaje mocz (co jest możliwe przy pęknięciu pęcherza moczowego)
skierowano na USG szczegółowe

W USG uwidoczniono:

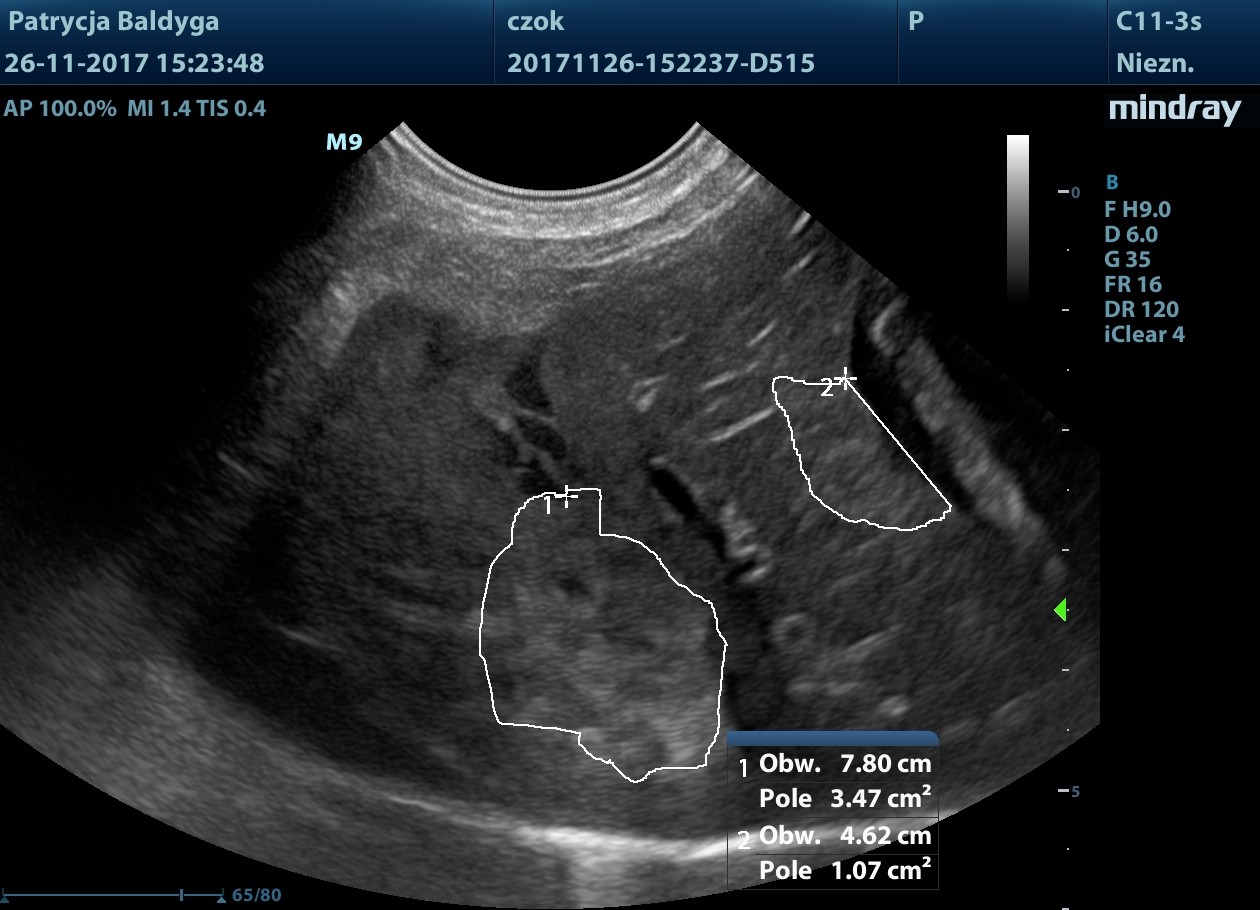
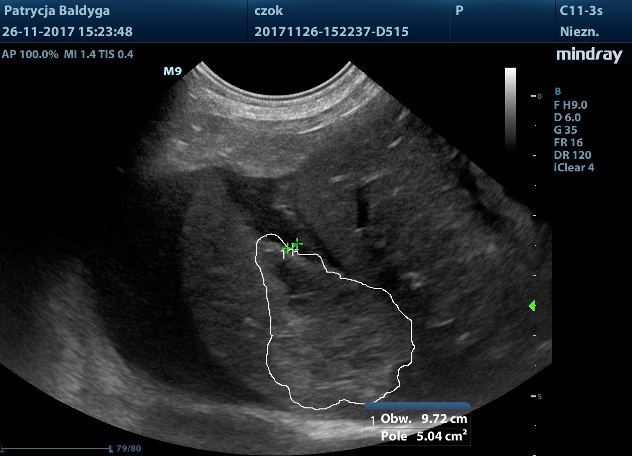
Wątroba nieco powiększona o nieznacznie zaokrąglonych krawędziach.

Miąższ szczególnie płatów lewych o miejscowo wzmożonej echogeniczności, nieco nieregularnej torebce, z obecnością zmiany ogniskowej najpewniej krwiaka pourazowego ok. 3,2 x 1,6 cm w płacie lewym bocznym modulującego znacznie torebkę powierzchni trzewnej.


Obecność znacznie zwiększonych ilości wolnego, nieco zagęszczonego płynu w jamie otrzewnej, widocznego w dużej ilości przypęcherzowo, przywątrobowo, pomiędzy pętlami jelit oraz śladowo również w przestrzeni zaotrzewnowej


- co nasuwa duże podejrzenie krwotoku masywnego, najpewniej z wątroby, wskazanie do laparotomii zwiadowczej.

Rozpoznanie:

Podczas laparotomii uwidoczniono liczne, krwiawiące krwiaki wątroby oraz krwawienie śródmiąższowe.